ניתוח מורכב במרכז שניידר בפתח תקווה: חולצה סיכת משרד מריאתה של בת 9 מאוקראינה, כשנתיים לאחר ששאפה אותה

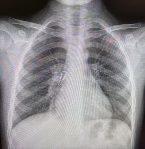
לפני כשנתיים, ילדה בת 9, בתו של שליח חב"ד באוקראינה, שאפה סיכת משרד. בסביבתה סברו תחילה כי היא בלעה אותה, ולא ראו סיבה לדאגה. עם זאת, לאחר שהילדה המשיכה לסבול משיעול במשך תקופה ממושכת, בוצע לאחרונה צילום חזה שחשף ממצא חריג: הסיכה הייתה תקועה בריאתה הימנית, מצב שעלול היה לגרום לנזק ריאתי משמעותי לטווח הארוך.
עם קבלת תוצאות הצילום, יצרה משפחתה של הילדה קשר עם ד"ר פטריק שטפלר, רופא בכיר במכון לרפואת ריאות במרכז שניידר לרפואת ילדים בפתח תקווה. ד"ר שטפלר הזמין את הילדה לטיפול, ובעקבות זאת הגיעה המשפחה לישראל.
לאחר הגעתה למרכז הרפואי, עברה הילדה פעולה מורכבת להוצאת הגוף הזר מדרכי האוויר. הפעולה התבצעה על ידי צוות רפואי משולב שכלל את ד"ר שטפלר וד"ר רועי הוד. במהלך ההליך, התגלו רקמת גרנולציה, סימני חלודה ודימום – עדויות לזמן הרב שבו שהתה הסיכה בתוך הריאה.
מאמץ הצוות הרפואי הוכתר בהצלחה, והסיכה הוצאה בשלמותה. בבדיקת ביקורת שנערכה כעבור שבועיים, נמצאו דרכי האוויר של הילדה נקיות לחלוטין, והיא במצב טוב. ממרכז שניידר נמסר כי הטיפול הוענק כחלק מפעילותו של בית החולים, שממשיך לספק טיפול מתקדם ומציל חיים לילדים מרחבי העולם גם בימים אלו, בהם המרכז פועל במתכונת חירום בצל המלחמה.
להצטרפות לוואטסאפ חדשות פתח תקווה להצטרפות לקבוצת וואטסאפ ששולחת דילים וקופונים לאליאקספרס
באתר זה שולבו סרטונים, תמונות ומידע מהרשתות החברתיות בשימוש לפי סעיף 27א לחוק זכויות יוצרים. במידה וידוע מי צילם שלחו למייל בקשה לצרף קרדיט או להסרה
מנסה לטעון שוב
הצטרפו אלינו!
הצטרפו לקבוצות הוואטסאפ שלנו:
אפליקציה בחנות האפליקציות:
אין עדיין תגובות
אפשר להתחיל את הדיון עם תגובה ראשונה.